
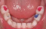
Mūsu mazajiem pacientiem ar prieku paziņojam, ka mūsu klīnikā piena zobu ārstēšanai pavisam nesen sākām izmantot ”zvaigžņu plombas” TWINKY STAR. TWINKY STAR – krāsainas plombas ar spīduma efektu ļoti patīk mazajiem pacientiem. Bērni ļoti aktīvi iesaistās labošanas procesā – patstāvīgi izvēlas topošās plombas krāsu – rozā, zelta, zilu, dzeltenu, zaļu, oranžu, tas kontaktā ar bērnu stomatologu darbojas kā spēles elements. Šis process veido pozitīvu attieksmi pret ārstēšanu, jo bērns kļūst par savu piena zobu „dizaineru” un ar lepnumu saviem draugiem var demonstrēt jaunās, krāsainās zvaigžņu plombas.
Plomba TWINKY STAR ne tikai sniedz stilīgu kosmētisku efektu, bet arī zoba audos izdala fluora jonus, tas stiprina un aizsargā audus no atkārtota kariesa. Kad fluora rezerves beidzas, plomba to paņem no zobu pastas, un nepārtraukti turpinās zoba kariesa profilakses process. Šādas plombas kalpo līdz brīdim, kad piena zobs nomainās pret pastāvīgo zobu. Tās neizzūd arī siekalu darbības rezultātā.
Tātad – krāsainās plombas nav tikai rotaļa, tās arī dod milzīgu labumu organismam.



Atpakaļ